Giornata Mondiale delle Malattie Rare: ma la ricerca in UniSR continua tutto l’anno

Il 28 febbraio ricorre la Giornata Mondiale delle Malattie Rare, ma all’Università Vita-Salute San Raffaele l’impegno verso queste patologie è continuo e strutturato.
Dalle neuropatie ereditarie ai disordini del neurosviluppo, fino alle forme genetiche di obesità e alle sindromi ultra-rare, i nostri gruppi di ricerca lavorano ogni giorno per svelare i meccanismi molecolari delle malattie e sviluppare strategie terapeutiche innovative.
Rientrano in quest'ottica i 3 progetti guidati dalla Prof.ssa Alessandra Bolino, dal Dr. Alessandro Sessa e dalla Dott.ssa Laura Silvestri, appena annunciati tra i vincitori del primo round della seconda edizione del bando “multi-round” di Fondazione Telethon in partnership con Fondazione Regionale per la Ricerca Biomedica (FRRB).

Strategie di terapia genica per le neuropatie Charcot-Marie Tooth
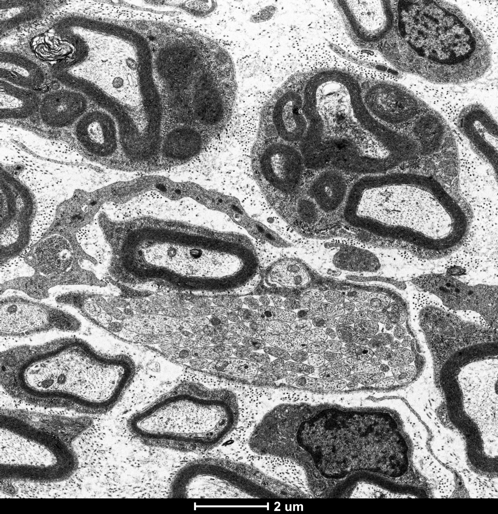
Le neuropatie Charcot-Marie-Tooth (CMT) sono un’ampia famiglia di malattie neuromuscolari ereditarie, in cui i muscoli si atrofizzano e si indeboliscono progressivamente e per le quali ad oggi non abbiamo alcuna cura.
Fanno parte di questa famiglia le gravi neuropatie congenite chiamate CMT4B. In queste malattie, mutazioni a carico di due geni danneggiano la mielina, la guaina protettiva dei neuroni, portando alla degenerazione di queste cellule.
Il progetto della Prof.ssa Alessandra Bolino vuole usare la terapia genica per correggere i difetti genetici alla base delle neuropatie CMT4B, a partire da modelli preclinici (cellulari e animali) di malattia.
Dice la Prof.ssa Bolino:
Lo scopo del progetto è quello di prevenire la neuropatia in fase molto precoce grazie alla terapia genica che negli ultimi anni si è dimostrata una strategia efficace per diverse malattie neuromuscolari. Mediante la terapia genica si introdurranno le proteine mancanti in queste forme utilizzando modelli preclinici di malattia.

Una malattia ultra-rara: la sindrome di Schinzel-Giedion
La sindrome di Schinzel-Giedion è un grave disordine del neurosviluppo molto raro, in cui una mutazione genetica causa l’accumulo tossico di proteine nelle cellule nervose che compromette il corretto sviluppo del cervello. Ne risultano disabilità intellettive, crisi epilettiche e, purtroppo, mortalità precoce.
Scopo del progetto guidato dal Dr. Alessandro Sessa è testare l’efficacia e la sicurezza di una strategia di terapia genica sviluppata nel suo laboratorio e preliminarmente validata in alcuni modelli preclinici della malattia.
Nello specifico, questa terapia genica punta a ridurre l’espressione della proteina mutata alla base della malattia e quindi a prevenire o migliorare i sintomi associati.
Spiega il Dr. Sessa:
La nostra idea è utilizzare piccole molecole della stessa “famiglia” del DNA per ridurre l’espressione di SETBP1, cioè la proteina mutata che si accumula nella malattia. Dati preliminari indicano che questo approccio è efficace, almeno in sistemi sperimentali. Siamo molto grati e orgogliosi del finanziamento multi-round, che ci permetterà di approfondire e validare ulteriormente questa possibile strategia terapeutica attraverso esperimenti sempre più complessi, con l’ambizione di arrivare presto a trial clinici sui pazienti.

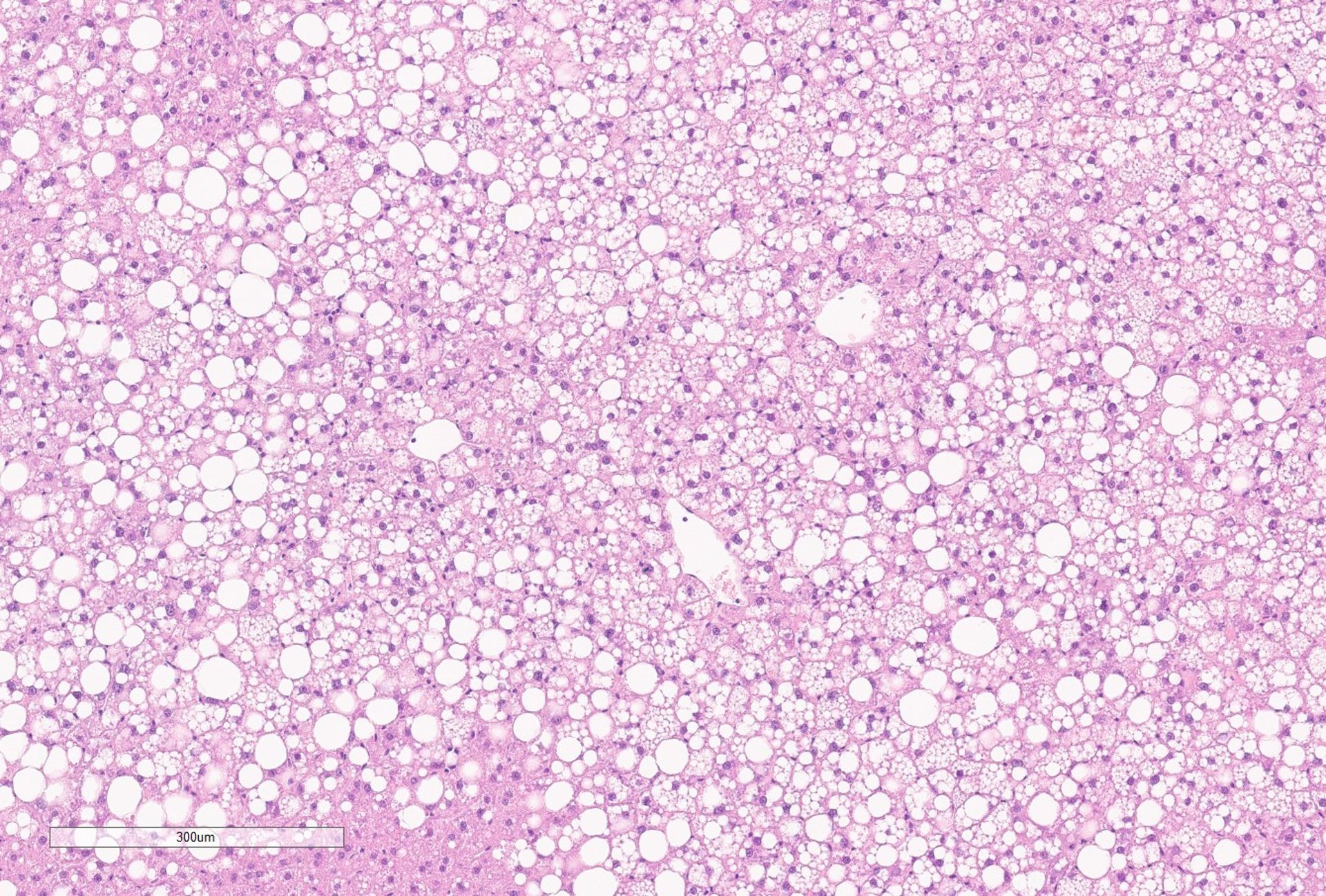
Una forma congenita di obesità: la deficienza del recettore della leptina
La deficienza del recettore della leptina (LEPRD) è una malattia genetica congenita in cui il cervello non regola più in maniera ottimale i segnali dell’appetito e dell’equilibrio energetico.
Questo causa iperfagia (la tendenza a mangiare molto), aumento del glucosio nel sangue e aumento della resistenza insulinica, portando a una forma di obesità pediatrica molto grave.
Il progetto della Dott.ssa Laura Silvestri mira a sviluppare strategie terapeutiche basate su oligonucleotidi antisenso che bersagliano una via chiave di regolazione del metabolismo epatico.
Spiega la Dott.ssa Silvestri:
Grazie a dati recentemente generati dal mio gruppo, abbiamo dimostrato che l’attivazione della via di segnale BMP-SMAD tramite oligonucleotidi antisenso mirati al fegato è sufficiente a migliorare il metabolismo dei lipidi e degli zuccheri. Combinando modulazione genica mirata e regolazione dell’appetito, vogliamo correggere il difetto metabolico alla base della LEPRD. L’obiettivo è non solo intervenire su questa specifica patologia, ma estendere l’approccio ad altre forme di obesità genetica e disturbi metabolici rari.

Una ricerca che dura tutto l’anno
Questi progetti rappresentano solo una parte delle numerose iniziative attive in UniSR nel campo delle malattie rare che integrano ricerca di base, validazione preclinica e sviluppo di approcci terapeutici innovativi, con un’attenzione costante ai bisogni dei pazienti.
Tra gli ultimi progetti UniSR finanziati con un bando “multi-round” di Telethon, e attivi per il biennio 2025-2027, troviamo anche quello guidato dal Dr. Raniero Chimienti dedicato allo studio dello squilibrio del sistema immunitario nei pazienti con sindrome di Wolfram, una rara malattia neuroendocrina.
Dice il Dr Chimienti, che coordina il progetto insieme al Dr. Giulio Frontino:
Studiamo come le mutazioni del gene WFS1 alterino il sistema immunitario. Comprendere questi meccanismi è essenziale per sviluppare strategie di terapia genica capaci di rallentare la progressione della malattia. Questi sono gli obiettivi anche di un nostro secondo progetto, finanziato congiuntamente da The Snow Foundation e Fondazione Tronchetti-Provera, che punta a usare la terapia genica per ripristinare la funzione della proteina WFS1 nelle cellule staminali del sangue dei pazienti.
Insieme a quello del Dr. Chimienti, erano risultati vincitori dello stesso bando Telethon multi-round anche i progetti (attivi per il biennio 2025-2027) sulla fibrosi cistica della Dott.ssa Alessandra Bragonzi e sullo sviluppo dei nuovi farmaci antiprionici della Dott.ssa Chiara Zucchelli.
Ti potrebbero anche interessare

Pint of Science 2026: la scienza alla spina torna nei pub milanesi

UniSR nominata centro per la tubercolosi da OMS, cosa faremo insieme

Sclerosi multipla, svolta nella ricerca: individuata una molecola che promuove la riparazione del sistema nervoso
